팔에 돋는 닭살 모공각화증, 여름 전 해결해야 하는 이유

여러분, 봄이 오고 반팔 옷을 꺼내볼 때 무슨 생각이 드세요? "아, 드디어 시원하게 팔을 드러낼 수 있다!"라고 기뻐하시나요? 아니면 "으악, 또 이 팔의 작은 울퉁불퉁한 것들..."이라며 한숨을 쉬시나요?
저는 솔직히 후자였어요. 십대 때부터 팔 뒤쪽의 울퉁불퉁한 부분이 너무 신경 쓰였거든요. 특히 봄이 오면 더 심해지는 것 같았죠. 그러다 의사 친구를 통해 이게 사실 모공각화증이라는 걸 알게 됐어요.
그니까요, 제 말은... 이게 무슨 희귀병이 아니라 꽤 흔한 피부 상태라는 거예요!
모공각화증(KP 또는 닭살 피부)은 인구의 약 40%가 경험하는 매우 흔한 피부 상태입니다. 사춘기에 발생하는 경우가 많고, 여성에게 더 자주 나타납니다.
팔 모공각화증의 모든 것, 쉽게 알아보기
모공각화증이 뭐길래?
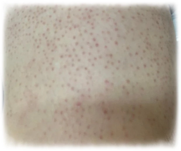
모공각화증(Keratosis Pilaris)... 이름부터 뭔가 어려워 보이죠? 의학 용어를 풀어보면 '케라틴(각질)이 모공을 막는 현상'이에요. 우리나라에선 '닭살 피부'라고도 불러요. 이건 팔 뒤쪽, 허벅지, 엉덩이, 심지어 얼굴까지도 나타날 수 있어요.
제가 처음 이걸 알았을 때 약간 충격이었어요. 그때까지 단순히 '거친 피부' 정도로만 생각했거든요. 하지만 실제로는 모낭 주변에 각질이 쌓여서 작은 돌기가 생기는 현상이더라고요.
그리고 모공각화증은 그냥 미용적인 문제일 뿐, 아프거나 위험한 건 아니에요. 근데 이게 왜 생기냐고요?

팔 모공각화증의 원인
솔직히 말하자면, 의학계에서도 정확한 원인은 아직 명확하게 밝혀지지 않았어요. 하지만 대부분의 전문가들은 다음과 같은 요인들이 관련 있다고 봐요:
- 유전적 요인 (네, 부모님한테 물려받을 수 있어요!)
- 과도한 각질 생성
- 피부 건조함
- 일부 호르몬 변화
- 계절 변화 (특히 겨울철 건조한 날씨에 악화됨)
저 같은 경우는... 음, 뭐랄까, 가족력이 있었어요. 엄마도 비슷한 증상이 있으셨거든요. 그리고 항상 건조한 피부 타입이라 겨울에서 봄으로 넘어갈 때 증상이 더 심해졌던 것 같아요.
그런데 재밌는 사실은 이 모공각화증이 아토피 피부염이나 천식, 건초열 같은 알레르기 질환과도 연관이 있다는 거예요.
주의하세요
모공각화증과 여드름을 헷갈려 같은 방식으로 관리하는 경우가 많아요. 하지만 이 둘은 완전히 다른 피부 상태입니다! 여드름 제품으로 모공각화증을 치료하면 오히려 증상이 악화될 수 있어요.
팔 모공각화증의 특징
모공각화증의 증상은 꽤 명확해요. 겪어보신 분들은 아마 고개를 끄덕이실 거예요:
- 작고 딱딱한 흰색 또는 붉은 돌기
- 닭살처럼 울퉁불퉁한 피부 표면
- 만지면 까칠까칠한 느낌
- 건조한 피부와 함께 나타나는 경우가 많음
- 계절에 따라 악화되거나 호전됨 (대개 겨울에 악화)
저는 특히 팔 뒤쪽과 허벅지 바깥쪽에 이런 증상이 심했어요. 처음에는 별로 신경 안 썼는데, 어느날 여름에 친구들이랑 물놀이 갔다가 팔 사진이 찍혔는데... 그때 진짜 충격 받았어요. 그 이후로 반팔 입는 게 조금 부담스러웠던 것 같아요.
하지만!
이 모든 게 단순히 미용적인 문제라는 걸 명심하세요. 모공각화증은 아프지도 않고, 전염성도 없고, 건강에 해롭지도 않아요. 그냥... 보기에 좀 신경 쓰일 뿐이죠.
왜 여름 전에 해결해야 할까?
따뜻한 봄날이 찾아오고 있고, 곧 여름이 올 텐데요. 모공각화증을 가진 분들이 이 시기에 더 신경 쓰이는 이유는 뭘까요?
- 노출의 증가 - 반팔, 반바지, 수영복... 피부가 더 많이 드러나는 계절이잖아요.
- 자신감 문제 - 아무리 '단순한 미용 문제'라고 해도, 피부 고민은 자신감에 영향을 줄 수 있어요.
- 효과적인 관리 시점 - 건조한 겨울이 지나고 피부가 회복되는 시기라, 모공각화증 관리하기 좋은 때예요.
- 자외선 노출 - 모공각화증이 있는 피부는 자외선에 더 민감할 수 있으니 여름 전에 관리하는 게 좋아요.
글을 쓰니까 얘기인데, 저도 작년에 여름 직전에 팔 모공각화증을 제대로 관리했더니 휴가 때 수영복 입는 데 훨씬 더 자신감이 생겼어요. 이제 매년 봄이 오면 '모공각화증 관리 시즌'이라고 생각하고 케어를 시작해요.

그래서 정말 여름 전에 이 문제를 해결하면 전체적인 피부 건강도 좋아지고, 무엇보다 옷 입는 스트레스가 확 줄어든답니다!
📌팁
모공각화증은 완전히 없애기보다는 '관리'하는 개념으로 접근하세요. 대부분의 사람들은 꾸준한 관리로 상당한 개선을 경험합니다. 특히 습도가 높은 여름철에는 자연스럽게 증상이 좀 완화되기도 해요.
팔 모공각화증 효과적인 관리 방법
모공각화증에 대해 이제 좀 알게 됐으니, 진짜 중요한 부분으로 넘어가볼게요. 바로 '어떻게 관리할 것인가?' 하는 문제죠. 저도 그동안 정말 많은 방법을 시도해봤는데, 효과적인 것도 있고 그렇지 않은 것도 있었어요.
참고로 말씀드리자면, 모공각화증은 완치라기보다는 '관리'의 개념으로 접근하는 게 좋아요. 그럼 이제 진짜 도움이 되는 관리법을 알아볼까요?
각질 관리가 핵심이에요
모공각화증의 기본 원인이 모공을 막는 각질이니, 각질 관리가 첫 번째 단계예요. 물론 너무 과하게 하면 역효과가 날 수 있으니 적당히!
각질 제거의 역사
재밌는 사실은 고대 이집트인들도 각질 제거를 했다는 거예요! 그들은 사문석, 꿀, 우유 등의 자연 성분으로 만든 스크럽을 사용했대요. 클레오파트라도 각질 제거와 피부 관리에 아주 열심이었다고 해요. 그때부터 이미 부드러운 피부의 중요성을 알고 있었던 거죠!
화학적 각질 제거
화학적 각질 제거제는 피부 표면의 죽은 세포를 부드럽게 녹여주는 방식으로 작동해요. 주로 사용되는 성분은:
- 살리실산(BHA) - 모공 깊숙이 들어가 막힌 각질을 제거해줘요
- 글리콜산(AHA) - 표면 각질을 부드럽게 제거하는 데 효과적
- 젖산 - 각질 제거와 동시에 보습 효과도 있어요
- 요소(Urea) - 각질을 부드럽게 하고 보습에도 좋음
제가 개인적으로 사용해본 것들 중에는 젖산 12% 함유된 로션이 꽤 효과가 좋았어요. 처음에는 좀 따가웠지만, 피부가 적응하면서 팔 뒤쪽의 울퉁불퉁함이 많이 부드러워졌거든요.
화학적 각질 제거제를 처음 사용할 때는 일주일에 1-2회부터 시작하는 것이 좋습니다. 피부가 적응하면 점차 횟수를 늘릴 수 있어요. 과도한 사용은 피부 장벽을 손상시킬 수 있으니 주의하세요!
물리적 각질 제거
스크럽이나 바디 브러시 같은 도구를 이용해 물리적으로 각질을 제거하는 방법도 있어요. 하지만 이 방법은 주의해야 해요.
솔직히 말해서, 저는 처음에 너무 열심히 스크럽을 한 적이 있는데... 그 결과는 더 심해진 붉은 돌기들이었어요. 절대 그렇게 하지 마세요! 부드럽게, 부드럽게가 핵심이에요.
주의!
모공각화증이 있는 피부에 거친 스크럽이나 강한 문지름은 피하세요! 오히려 염증을 악화시키고 상태를 더 나쁘게 만들 수 있습니다. 부드러운 바디 브러시나 목욕 수건으로 가볍게 마사지하는 정도가 적당해요.
보습이 필수입니다
각질 제거 못지않게 중요한 게 바로 보습이에요. 건조한 피부는 모공각화증을 더 악화시킬 수 있거든요.
그니까요... 제가 진짜 깨달은 건데, 아무리 각질 제거를 잘 해도 보습이 따라주지 않으면 소용없어요. 피부가 건조해지면서 또 각질이 쌓이니까요.

어떤 보습제가 좋을까?
모공각화증에 좋은 보습제는 다음과 같은 성분을 포함하고 있어요:
- 세라마이드 - 피부 장벽을 강화
- 요소(Urea) - 보습과 각질 제거 효과 동시에
- 시어버터 - 깊은 보습 제공
- 글리세린 - 수분을 끌어당기는 효과
- 알파하이드록시산(AHA) - 각질 제거와 보습 동시에
저는 샤워 직후 물기가 남아있을 때 바로 보습제를 바르는 습관을 들였어요. 그게 수분을 가두는 데 정말 효과적이더라고요.
전문가 조언
"모공각화증 관리에서 가장 효과적인 방법은 각질 제거와 보습을 함께 하는 것입니다. 하지만 과도한 각질 제거는 피부 장벽을 손상시켜 오히려 증상을 악화시킬 수 있어요. 일주일에 2-3회 정도의 각질 제거와 매일 꾸준한 보습이 가장 이상적입니다."
김미영 피부과 전문의자기 피부에 맞는 제품 찾기
모공각화증 관리에서 정말 중요한 건 '내 피부에 맞는 제품 찾기'예요. 아무리 좋다는 제품도 내 피부에 안 맞으면 소용없거든요.
제 경험을 말씀드리자면, 처음엔 유명한 바디 스크럽을 써봤는데 오히려 더 악화됐어요. 그러다가 요소 성분이 들어간 크림을 써보니 정말 효과가 좋더라고요. 사람마다 반응하는 제품이 다를 수 있어요.
활용 팁
새로운 제품을 시도할 때는 항상 팔 안쪽 작은 부위에 먼저 패치 테스트를 해보세요. 24시간 동안 이상 반응이 없으면 본격적으로 사용해도 좋습니다.
생활 습관도 중요해요
제품만으로 모공각화증을 완전히 관리하기는 어려워요. 일상 생활 습관도 중요한 역할을 해요!
- 수분 섭취 늘리기 - 체내 수분이 부족하면 피부도 건조해져요
- 긴 뜨거운 샤워 피하기 - 피부의 자연 오일을 씻어내요
- 자극적인 비누 사용 줄이기 - 순한 클렌저가 좋아요
- 건조한 환경에서 가습기 사용하기 - 특히 겨울철에 중요
- 면 소재의 옷 입기 - 합성 섬유는 피부 자극을 줄 수 있어요
저는 작년 겨울에 가습기를 사용하기 시작했는데, 집안 습도가 높아지니까 피부 건조함이 확실히 줄어들더라고요. 그리고 뜨거운 물로 샤워하는 습관을 고치는 것도 도움이 많이 됐어요. (물론 추운 겨울에 미지근한 물로 샤워하는 건 진짜 어려웠지만...)
모공각화증 관리 vs 여드름 관리
모공각화증 관리
- 부드러운 각질 제거
- 깊은 보습이 필수
- 젖산, 요소 성분 사용
- 가볍게 문지르기
- 자극을 최소화
여드름 관리
- 살리실산 위주 사용
- 오일프리 제품 선호
- 강한 세정이 필요할 수도
- 점성 트리트먼트 사용
- 피지 조절이 중요
이 두 가지 피부 상태는 겉보기에 비슷할 수 있지만, 원인과 관리법이 완전히 달라요. 여드름 제품으로 모공각화증을 관리하면 오히려 더 건조해져서 증상이 악화될 수 있어요.
모공각화증은 진짜... 인내심이 필요한 피부 상태예요. 하루아침에 해결되는 게 아니라 꾸준한 관리가 필요하거든요. 하지만 제대로 된 방법으로 꾸준히 관리하면 눈에 띄는 개선을 볼 수 있어요.

치료법 알아보기
모공각화증이 심한 경우에는 피부과 의사와 상담하는 것도 좋은 방법이에요. 의사들이 추천하는 치료법에는 다음과 같은 것들이 있어요:
- 처방전 필요한 고농도 각질 제거제 - 일반 제품보다 강력함
- 레티노이드 크림 - 세포 턴오버를 촉진
- 미세 박피술 - 전문가가 수행하는 물리적 각질 제거
- 레이저 치료 - 피부 표면을 부드럽게 만들어줌
다들 이렇게 말하지만 사실은, 대부분의 모공각화증은 일반적인 관리만으로도 충분히 개선할 수 있어요. 저 같은 경우도 처음에는 병원 치료를 고려했지만, 생활 습관 개선과 적절한 제품 사용만으로도 꽤 만족스러운 결과를 얻었거든요.
알아두세요
2023년 피부과학회 연구에 따르면, 모공각화증 환자의 약 80%가 꾸준한 각질 제거와 보습만으로도 6개월 내에 상당한 개선을 경험했다고 합니다. 전문적인 치료는 심각한 경우에만 필요한 경우가 많습니다.
내 피부에 맞는 관리법 찾기
여러분, 솔직히 말하자면 모공각화증 관리에 완벽한 '정답'은 없어요. 모든 피부가 다르고, 반응하는 방식도 달라요. 중요한 건 자신의 피부에 맞는 방법을 찾는 거예요.
이건 제 경험에서 나온 팁인데, 모공각화증 관리를 위한 '시행착오 노트'를 만들어 보세요. 어떤 제품을 언제 사용했는지, 어떤 반응이 있었는지 기록하면 정말 도움이 돼요.
그리고 무엇보다 중요한 건 인내심이에요. 모공각화증은 하루아침에 해결되지 않아요. 효과를 보려면 최소 4-6주는 꾸준히 관리해야 한다는 걸 명심하세요.
팔 모공각화증 맞춤 관리 루틴과 추천 제품
이제 모공각화증이 뭔지도 알았고, 관리 방법에 대해서도 알아봤으니... 실전으로 들어갈 시간이에요! 여기서는 제가 직접 경험해본 관리 루틴과 실제로 도움이 됐던 제품들을 소개해 드릴게요.
일주일 모공각화증 관리 루틴
효과적인 관리를 위해서는 일관된 루틴이 중요해요. 제가 실제로 따랐던 일주일 루틴을 공유할게요.
팔 모공각화증 주간 관리 루틴
- 월요일: 화학적 각질 제거제 사용 후 강력 보습
- 화요일: 순한 세정제로 세척 후 보습
- 수요일: 부드러운 타월로 가볍게 물리적 각질 제거 후 보습
- 목요일: 순한 세정제로 세척 후 보습
- 금요일: 화학적 각질 제거제 사용 후 강력 보습
- 토요일: 순한 세정제로 세척 후 보습
- 일요일: 깊은 보습 마스크 또는 오일 트리트먼트
이 루틴을 따르면서 정말 중요하게 생각했던 건 '과하지 않게' 하는 거였어요. 처음에는 매일 각질 제거를 하고 싶은 충동이 들었지만, 그렇게 하면 피부 장벽이 약해져서 역효과가 날 수 있거든요.
주의하세요
피부가 붉어지거나 따끔거림이 느껴지면 즉시 각질 제거를 중단하고 순한 보습제만 사용하세요. 피부가 회복될 때까지 며칠 동안은 각질 제거 단계를 건너뛰는 것이 좋습니다.
도움이 됐던 제품들
제가 직접 사용해보고 효과를 느꼈던 제품들을 소개해 드릴게요. 물론 모든 피부가 다르니 참고만 해주세요!
저는 개인적으로 젖산 함유 바디 로션과 요소 크림의 조합이 가장 효과적이었어요. 주 2-3회 젖산 로션으로 각질을 제거하고, 나머지 날에는 요소 크림으로 보습을 하는 방식이었죠.
깨달은 점
모공각화증 관리에서 가장 큰 깨달음은 '덜 하는 것이 더 나을 수 있다'는 점이었어요. 처음에는 빨리 개선하고 싶어서 매일 강하게 각질 제거를 했지만, 그게 오히려 피부를 자극했어요. 일주일에 2-3회 부드럽게 각질 제거하고, 나머지는 보습에 집중했더니 훨씬 더 좋은 결과를 얻을 수 있었습니다.
자주 묻는 질문들
모공각화증에 대해 사람들이 자주 묻는 질문들에 답해볼게요!
팔 모공각화증 관리의 핵심 요약
꽤 긴 글을 읽으셨을 테니, 핵심만 다시 정리해 볼게요. 팔 모공각화증 관리의 가장 중요한 포인트는:
- 과하지 않은 규칙적인 각질 제거 (주 2-3회)
- 매일 꾸준한 보습 (샤워 직후가 가장 효과적)
- 자기 피부에 맞는 제품 찾기 (패치 테스트 필수)
- 충분한 수분 섭취와 건강한 생활 습관 유지
- 인내심을 가지고 꾸준히 관리하기
결론적으로, 모공각화증은 빠른 해결보다는 꾸준한 관리가 중요해요. 곧 다가올 여름을 위해 지금부터 관리를 시작한다면, 반팔을 입었을 때 훨씬 더 자신감 있는 모습을 보여줄 수 있을 거예요.
- 모공각화증은 각질이 모공을 막아 생기는 흔한 피부 상태
- 유전적 요인, 피부 건조함, 계절 변화 등이 주요 원인
- 여름 전 관리가 중요한 이유는 노출 증가와 자신감 확보
- 부드러운 각질 제거와 꾸준한 보습이 관리의 핵심
- 젖산, 요소, 살리실산 등의 성분이 효과적
- 과한 각질 제거는 오히려 증상을 악화시킬 수 있음
- 꾸준한 관리로 4-6주 내 눈에 띄는 개선 가능
여러분도 이제 팔 모공각화증에 대해 거의 전문가가 되셨네요! 이 정보들이 도움이 되셨길 바라고, 곧 다가올 여름에 자신감 넘치는 모습으로 팔을 드러내실 수 있길 바랍니다.
혹시 질문이 있으시다면 댓글로 남겨주세요. 제가 아는 한도 내에서 최대한 답변해 드릴게요!
같이 읽으면 좋은글
호르몬 변화의 모든 증상과 질병: 알아두면 건강을 지킨다
호르몬 변화의 모든 증상과 질병: 알아두면 건강을 지킨다
호르몬은 우리 몸의 조용한 지휘자입니다. 기분, 체중, 에너지 수준부터 생리 주기와 심장 건강까지, 호르몬은 거의 모든 신체 기능을 조절합니다. 하지만 이 섬세한 균형이 깨지면 "호르몬 변화
blog1.miknk.co.kr
올리브오일 생식, 면역력 강화와 다이어트의 완벽 조화
올리브오일은 단순한 식용유를 넘어 건강과 미용을 동시에 챙길 수 있는 슈퍼푸드로 자리 잡았습니다. 특히 ‘올리브오일 생식’은 요리하지 않고 생으로 섭취하는 방법으로, 면역력 강화와 다
blog1.miknk.co.kr
댓글